희망을 걷는 9살 지호

신경모세포종 진단 후
11번의 항암 치료를 견뎌 낸 지호.
여전히 몸 속에는 종양이 남아 있지만
지호와 엄마는 완치의 희망을 놓지 않습니다.

후원영상

아동의 인권 보호를 위해 가명을 사용하였습니다.

"선생님 거짓말하지 마세요. 이게 어떻게 다 종양이에요."

6살 때부터 윗배가 유난히 볼록 나왔던 지호.

지호의 말 : 배가 콕콕 아픈 게 아니라 푹푹 아파요, 계속.

7살이 되던 해, 지호는 갑자기 구토를 하고
사타구니와 배가 아프기 시작했습니다.

병원 검사 결과, 지호의 병명은 신경모세포종 4기.*
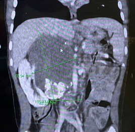
지호의 배 속에서 17cm 크기의 암이 발견되었고,
이미 림프절까지 전이된 상태였습니다.

감기인 줄만 알았던 엄마는
순간 머릿속이 하얘지고, 눈앞이 캄캄해졌습니다.

지호의 CT 사진 지호의 진단서 사진
*신경모세포종 : 대표적인 소아암 중 하나로 신경세포가 악성 종양이 되는 질환

작은 몸으로 11번의 항암을 버틴 지호

엄마의 말씀 : 배 속에 벌레가 있는데, 그 벌레가 지호를 힘들게 하고 있대.

'암', '종양'이라는 단어는 어린 지호에게 너무 낯설었습니다.
엄마는 지호의 눈높이에 맞춰 설명했지만,
지호가 이해하고 받아들이기엔 시간이 부족했습니다.

대형 병원 전원, 조직 검사, 항암 치료까지…
모든 것이 일주일이 채 안 걸릴 정도로 위중했던 지호.

어른도 버거운 11번의 항암 치료,
너무 힘들어서 입을 열 기운조차 없던 지호에게

엄마의 말씀 : 꼭 나을 거야, 지호 나을 수 있어.

라는

엄마의 말이 유일한 버팀목이 되었습니다.

끝이 보이지 않는 병원비

지호를 홀로 돌보던 엄마는
직장을 그만둘 수밖에 없었습니다.

병원과 집을 오가며 지호 곁을 지켜야 하는 엄마에게
갈수록 늘어나는 병원비와 생계비는
큰 부담으로 다가왔습니다.

수차례의 항암, 조혈모세포 이식,
반복되는 입퇴원과 통원치료 비용 등

끝없이 불어나는 병원비를 감당하기 어려운 현실…

그럼에도 지호를 돌보면서
일할 수 있는 일자리를 구하기 위해
쪽잠을 자며 자격증 공부를 한 엄마.
노력 끝에 시험에 합격한 엄마는
차근차근 미래를 준비하고 있습니다.

수차례 항암에도 남아 있는 7cm 종양

지호의 배 속에는 여전히
7cm 크기의 종양이 남아 있습니다.

신경과 혈관이 복잡하게 얽혀 있어
제거할 수 없는 암과 평생 싸워야 하는 지호.

지호의 말 : 병원 갈 때마다 걱정돼요, 배 속에 있는 벌레가 다시 살아날까 봐…

병원 가는 날짜가 다가올수록 고통스러운
항암 치료의 기억이 떠올라 불안한 지호.
하지만 일찍 철이 든 아이는
엄마가 걱정할까 속으로 삼킵니다.

지호의 머리를 쓰다듬어 주는 엄마와 행복해하는 지호 모습의 사진 지호와 엄마가 함께 병실에서 찍은 모습의 사진

서로의 전부, 지호와 엄마

기나긴 항암 치료 속에서
숱한 고비를 함께 이겨온 지호와 엄마.

지호는 엄마가 자신 때문에 슬퍼할까 봐
아파도 아프지 않은 척, 힘들어도 힘들지 않은 척,
오히려 장난을 치며 엄마를 웃게 했습니다.
그리고 그런 지호 곁에서 매 순간
수없이 용기를 준 단 한 사람, 엄마.

남아 있는 암을 이겨내기 위해,
소중한 일상을 되찾기 위해,
지호와 엄마는 오늘도 함께 암과 싸우고 있습니다.

내가 무너지면 우리 아이도 무너질까 봐, 지호 앞에서 절대 눈물 보이지 않기로 다짐한 엄마

아픈 모습을 보면 엄마가 마음 아파할까 봐, 힘들어도 애써 미소 지어 보이는 속 깊은 지호

"엄마랑 같이 오래오래 살고, 효도도 많이 할 거예요."

엄마가 세상의 전부인 지호가
꾸준히 치료를 받아
더 이상 아픈 날이 없도록
따뜻한 희망을 전해주세요.

보내주신 후원금은 지호 가정의
의료비, 교육비, 생계비로 소중히 사용됩니다.

의료비
지호가 안정적으로 치료를 받아 건강하게 성장할 수 있도록 의료비 지원
교육비
꿈 많은 지호가 배우고 싶은 것을 맘껏 배울 수 있도록 교육비 지원
생계비
지호와 엄마가 경제적 어려움 없이 생활할 수 있도록 생계비 지원
후원금은 지호 가정을 위해 우선 사용되며, 이후 비슷한 환경에 놓인 국내 아동을 지원할 예정입니다.
© 2025 초록우산 All Rights Reserved.
최상단으로